Mund-, Kiefer-, Gesichtschirurgie
52 Fälle
- 'Hau den Lukas'
- 30-jähriger Patient mit Zahnfehlstellung
- Alter Mann mit schorfiger Läsion am rechten Ohr
- Ältere Frau mit Schleimhautveränderung am linken Zungenrand
- Älterer Mann mit Monokelhämatom und Epistaxis nach Sturz
- Arztwechsel und Vorbefunde
- Auffällige Inspektion des Mundraums
- Biss-Probleme
- Die Nase läuft und der Gaumen schmerzt
- Die Zähne "passen nicht mehr zusammen"
- Druckschmerz am Ober- und Unterkiefer
- Druckschmerz im 3./4. Quadranten
- Druckstelle im Oberkiefer durch eine Zahnprothese
- Fahrradsturz auf das Gesicht
- Faustschlag auf den Unterkiefer
- Gesichtsverletzung durch Autounfall
- Hautveränderung im Bereich der rechten Nasenwurzel
- Ich bekomme schnell 'blaue Flecke' und neige zur Migräne
- Implantologisch-prothetische Versorgung nach Kieferrekonstruktion
- Junge Frau mit schmerzhaft verhärteter Schwellung am Mundboden
- Junge Frau mit Unterkiefer-Druckschmerz
- Junger Mann mit Kiefergelenkknacken
- Knie gegen Stirn
- Knochendeformitäten seit der Geburt
- Komische Unregelmäßigkeit im Mund
- Kontrollröntgen des Unterkiefers bei einem jungen Mann
- Mann mit linksseitigen Schmerzen an der Zunge
- Mann mit Wunde und Bluterguss am Kinn
- MKG-Konsil bei Hautveränderung auf dem Kopf
- Mundgeruch und lockere Prothese
- Mundraum-Inspektion eines Alkoholikers
- Mundschleimhautveränderung beim Herzpatient
- Notfallmäßige Vorstellung mit Unterkieferschmerzen und Fieber
- Probleme beim Abbeißen
- Progrediente Schmerzen im Unterkiefer und allgemeine Schwäche
- Progredienter Unterkieferschmerz
- Riss- und Quetschwunden nach Rauferei
- Rückgang des Kieferknochens
- Schmerzhafte Prothesenlockerung
- Schmerzhafte Schwellung unter dem Unterkiefer
- Schwellung am Hals ohne weitere Beschwerden
- Schwellung an der inneren Wange stört beim Kauen
- Sturz aus vier Meter Höhe auf das Gesicht
- Sturz mit Roller ohne Helm
- Submandibuläre Schwellung bei Routinekontrolle
- Treppensturz einer Herzpatientin
- Überweisung bei auffälligem Oberkieferbefund
- Ungeklärten Schwellung unterhalb des Unterkiefers
- Weisheitszahnbehandlung eines 18-Jährigen
- Zahnärztliche Vorstellung nach vier Jahren zur Prophylaxe
- Zahnarztwechsel wegen Unzufriedenheit
- Zahnloser Patient mit schmerzloser oraler Schwellung
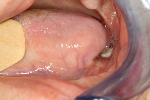
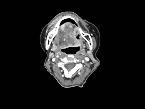
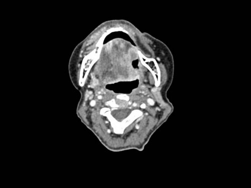
Ältere Frau mit Schleimhautveränderung am linken Zungenrand
Fall-ID: 714
ICD: C02.0
Autor*in: Sandra Klipp
Eine 68-jährige Patientin wird zu Ihnen in die MKG-chirurgische Abteilung des Klinikums durch den Hauszahnarzt überwiesen. Jener bemerkte eine Schleimhautveränderung am linken Zungenrand.
Frage 1 von 4
Welche Frage stellen Sie bzgl. der speziellen Anamnese?
- ANehmen Sie Medikamente ein?
- BLeiden Sie unter Allgemein- u./o. Stoffwechselerkrankungen?
- CIst Ihre Zunge in der Bewegung eingeschränkt?
- DLeiden Sie unter Allergien?
- EWann fand Ihr letzter Zahnarztbesuch statt?
1/4
1/4







Makroskopie - intraoral präoperativ






