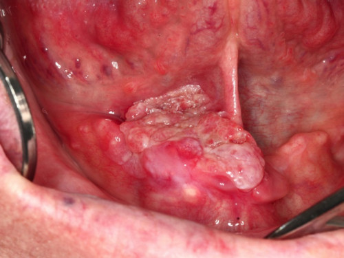
Mundschleimhautveränderung beim Herzpatient
Fall-ID: 632
ICD: C06.9
ICD: C77.0
Ein 70-jähriger Patient kommt zu Ihnen in die Zahnarzt-Praxis mit einer neu aufgetretenen Veränderung der Mundschleimhaut. Er gibt folgende Vorerkrankungen an: 'Herz-Bypass-OP vor 9 Jahren, Bluthochdruck und Zucker'.
Medikation: Kombinationspräparat aus Perindopril und Indapamid, Simvastatin, Bisoprolol, Lercanidipin, Moxonidin, Acetylsalicylsäure und Benzbromaron
