Mund-, Kiefer-, Gesichtschirurgie
52 Fälle
- 'Hau den Lukas'
- 30-jähriger Patient mit Zahnfehlstellung
- Alter Mann mit schorfiger Läsion am rechten Ohr
- Ältere Frau mit Schleimhautveränderung am linken Zungenrand
- Älterer Mann mit Monokelhämatom und Epistaxis nach Sturz
- Arztwechsel und Vorbefunde
- Auffällige Inspektion des Mundraums
- Biss-Probleme
- Die Nase läuft und der Gaumen schmerzt
- Die Zähne "passen nicht mehr zusammen"
- Druckschmerz am Ober- und Unterkiefer
- Druckschmerz im 3./4. Quadranten
- Druckstelle im Oberkiefer durch eine Zahnprothese
- Fahrradsturz auf das Gesicht
- Faustschlag auf den Unterkiefer
- Gesichtsverletzung durch Autounfall
- Hautveränderung im Bereich der rechten Nasenwurzel
- Ich bekomme schnell 'blaue Flecke' und neige zur Migräne
- Implantologisch-prothetische Versorgung nach Kieferrekonstruktion
- Junge Frau mit schmerzhaft verhärteter Schwellung am Mundboden
- Junge Frau mit Unterkiefer-Druckschmerz
- Junger Mann mit Kiefergelenkknacken
- Knie gegen Stirn
- Knochendeformitäten seit der Geburt
- Komische Unregelmäßigkeit im Mund
- Kontrollröntgen des Unterkiefers bei einem jungen Mann
- Mann mit linksseitigen Schmerzen an der Zunge
- Mann mit Wunde und Bluterguss am Kinn
- MKG-Konsil bei Hautveränderung auf dem Kopf
- Mundgeruch und lockere Prothese
- Mundraum-Inspektion eines Alkoholikers
- Mundschleimhautveränderung beim Herzpatient
- Notfallmäßige Vorstellung mit Unterkieferschmerzen und Fieber
- Probleme beim Abbeißen
- Progrediente Schmerzen im Unterkiefer und allgemeine Schwäche
- Progredienter Unterkieferschmerz
- Riss- und Quetschwunden nach Rauferei
- Rückgang des Kieferknochens
- Schmerzhafte Prothesenlockerung
- Schmerzhafte Schwellung unter dem Unterkiefer
- Schwellung am Hals ohne weitere Beschwerden
- Schwellung an der inneren Wange stört beim Kauen
- Sturz aus vier Meter Höhe auf das Gesicht
- Sturz mit Roller ohne Helm
- Submandibuläre Schwellung bei Routinekontrolle
- Treppensturz einer Herzpatientin
- Überweisung bei auffälligem Oberkieferbefund
- Ungeklärten Schwellung unterhalb des Unterkiefers
- Weisheitszahnbehandlung eines 18-Jährigen
- Zahnärztliche Vorstellung nach vier Jahren zur Prophylaxe
- Zahnarztwechsel wegen Unzufriedenheit
- Zahnloser Patient mit schmerzloser oraler Schwellung
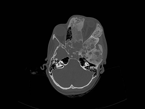
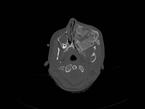
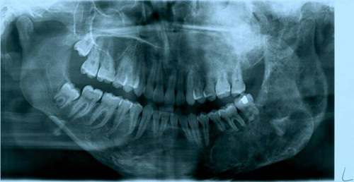
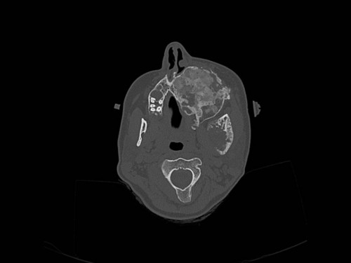
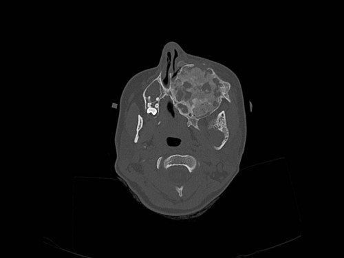
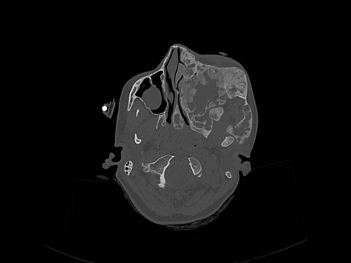
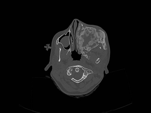
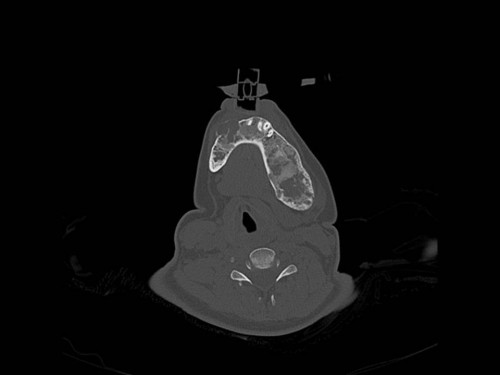
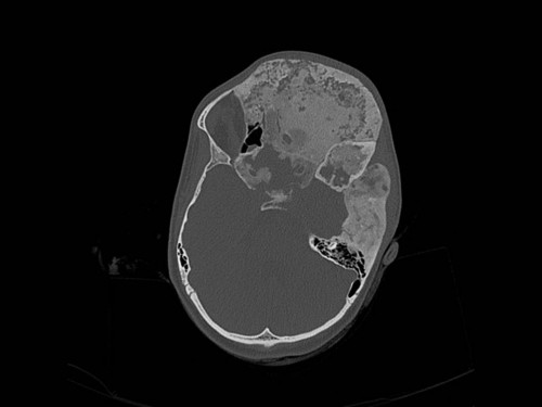
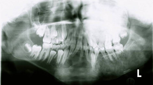
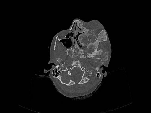
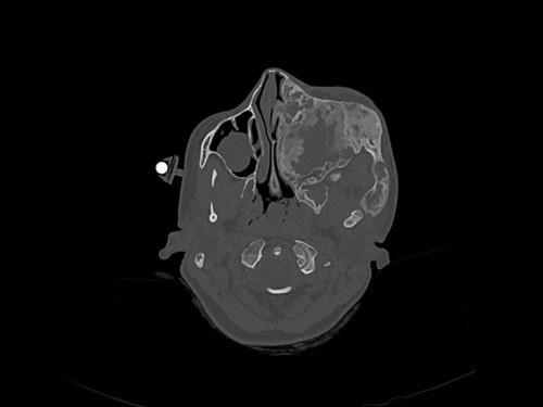
Knochendeformitäten seit der Geburt
Fall-ID: 712
ICD: M85.09
Autor*in: Sandra Klipp
Eine 16-jährige Patientin kommt in eine MKG-chirurgische Praxis zur Abklärung der weiteren Vorgehensweise bzgl. ihrer Erkrankung.
Frage 1 von 4
Sie betrachten die angefertigten Röntgenbilder. Welche der folgenden Röntgenbefunde ist korrekt? Ossäre Auftreibungen im Bereich …
- A… der Mandibula links.
- B… des Os frontale links.
- C… des Os zygomaticum links.
- D… des Os temporale links.
- EAlle genannten Aussagen sind korrekt.
1/4
1/4

















Bildgebung - OPAN 2004
















