Mund-, Kiefer-, Gesichtschirurgie
52 Fälle
- 'Hau den Lukas'
- 30-jähriger Patient mit Zahnfehlstellung
- Alter Mann mit schorfiger Läsion am rechten Ohr
- Ältere Frau mit Schleimhautveränderung am linken Zungenrand
- Älterer Mann mit Monokelhämatom und Epistaxis nach Sturz
- Arztwechsel und Vorbefunde
- Auffällige Inspektion des Mundraums
- Biss-Probleme
- Die Nase läuft und der Gaumen schmerzt
- Die Zähne "passen nicht mehr zusammen"
- Druckschmerz am Ober- und Unterkiefer
- Druckschmerz im 3./4. Quadranten
- Druckstelle im Oberkiefer durch eine Zahnprothese
- Fahrradsturz auf das Gesicht
- Faustschlag auf den Unterkiefer
- Gesichtsverletzung durch Autounfall
- Hautveränderung im Bereich der rechten Nasenwurzel
- Ich bekomme schnell 'blaue Flecke' und neige zur Migräne
- Implantologisch-prothetische Versorgung nach Kieferrekonstruktion
- Junge Frau mit schmerzhaft verhärteter Schwellung am Mundboden
- Junge Frau mit Unterkiefer-Druckschmerz
- Junger Mann mit Kiefergelenkknacken
- Knie gegen Stirn
- Knochendeformitäten seit der Geburt
- Komische Unregelmäßigkeit im Mund
- Kontrollröntgen des Unterkiefers bei einem jungen Mann
- Mann mit linksseitigen Schmerzen an der Zunge
- Mann mit Wunde und Bluterguss am Kinn
- MKG-Konsil bei Hautveränderung auf dem Kopf
- Mundgeruch und lockere Prothese
- Mundraum-Inspektion eines Alkoholikers
- Mundschleimhautveränderung beim Herzpatient
- Notfallmäßige Vorstellung mit Unterkieferschmerzen und Fieber
- Probleme beim Abbeißen
- Progrediente Schmerzen im Unterkiefer und allgemeine Schwäche
- Progredienter Unterkieferschmerz
- Riss- und Quetschwunden nach Rauferei
- Rückgang des Kieferknochens
- Schmerzhafte Prothesenlockerung
- Schmerzhafte Schwellung unter dem Unterkiefer
- Schwellung am Hals ohne weitere Beschwerden
- Schwellung an der inneren Wange stört beim Kauen
- Sturz aus vier Meter Höhe auf das Gesicht
- Sturz mit Roller ohne Helm
- Submandibuläre Schwellung bei Routinekontrolle
- Treppensturz einer Herzpatientin
- Überweisung bei auffälligem Oberkieferbefund
- Ungeklärten Schwellung unterhalb des Unterkiefers
- Weisheitszahnbehandlung eines 18-Jährigen
- Zahnärztliche Vorstellung nach vier Jahren zur Prophylaxe
- Zahnarztwechsel wegen Unzufriedenheit
- Zahnloser Patient mit schmerzloser oraler Schwellung
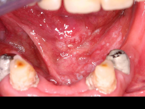
Mann mit linksseitigen Schmerzen an der Zunge
Fall-ID: 390
ICD: C02.3
ICD: C02.9
ICD: C04.9
ICD: K13.2
ICD: K14.6
Autor*in: Vera Stock
Ein 39-jähriger Patient stellt sich wegen Brennen und Schmerzen im linken Bereich der Zunge erstmalig in Ihrer Praxis vor. Die Symptome bestünden seit etwa drei Wochen. Ihre Fragen nach anderen Erkrankungen oder Medikamenteneinnahmen werden von dem Patienten verneint.
Frage 1 von 6
Welche Aussage des Patienten passt zu dem Befund, der sich Ihnen bei der intraoralen Inspektion zeigt?
- ANach einem Faustschlag vor 3 Wochen habe ich zunehmend Schmerzen.
- BIch rauche seit meinem 14. Lebensjahr und trinke zur Zeit ca. 0,5l Bier am Tag.
- CZur gleichen Zeit habe ich Blutbeimengungen im Stuhl bemerkt.
- DIch habe seit über 10 Jahren einen Knubbel an der Zunge, der jetzt auf einmal schmerzt.
- EVor 3 Wochen hatte ich eine geschwollene Wange und Fieber, seitdem tut mir die Zunge weh.
1/6
1/6

Makroskopie - intraoral präoperativ
