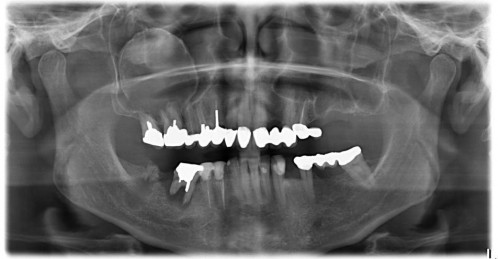
Zahnärztliche Vorstellung nach vier Jahren zur Prophylaxe
Fall-ID: 404
ICD: J34.1
ICD: K02.9
ICD: K04.8
ICD: K05.3
ICD: K08.3
ICD: K09.2
45-jähriger Patient stellt sich erstmalig bei Ihnen in der Praxis vor. Er berichtet, seit 4 Jahren nicht mehr beim Zahnarzt gewesen zu sein, da er keine Zahnschmerzen gehabt habe. Jetzt möchte er zur Prophylaxe kommen.
Allgemeinerkrankungen liegen, soweit er weiß, nicht vor. Die Frage nach Medikamenteneinnahme verneint er.
