Stechender Schmerz in der Ellenbeuge
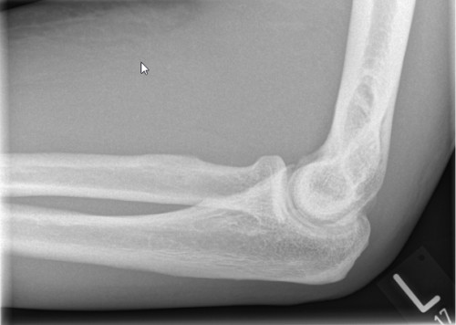
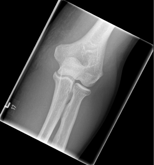
Ein 54 Jahre alter Patient stellt sich bei Ihnen in der Notfallambulanz vor. Er erzählt vor 5 Tagen bei seiner Tätigkeit als Postbote gestolpert und nach hinten gefallen zu sein. Dabei habe er seinen Arm nach hinten geschwungen um sich abzufangen und dabei einen stechenden Schmerz verspürt. Er war bereits am Unfalltag bei einer Kollegin von Ihnen in der Nofallambulanz. Diese hatte eine Schwellung und ein Hämatom am Unter- und Oberarm medialseitig inspektorisch, sowie ein Kraftdefizit beim Heben im Ellenbogen festgestellt. Im daraufhin angefertigten Röntgenbild (siehe unten) wurde keine Fraktur festgestellt. Daraufhin wurde ein Oberarm-Cast angelegt und dem Patienten ein zeitnaher MRT-Termin organisiert. Nun stellt sich der Patient zur Befundbesprechug und Planung des Procedere vor. Nach Abnahme der Gipsschiene sehen Sie folgenden Inspektionsbefund.
Keine relevanten Vorerkrankungen oder Allergien bekannt. Keine Dauermedikation.



