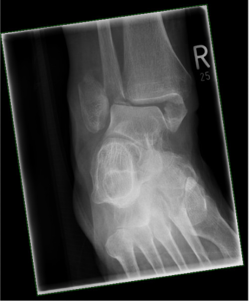
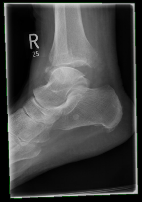
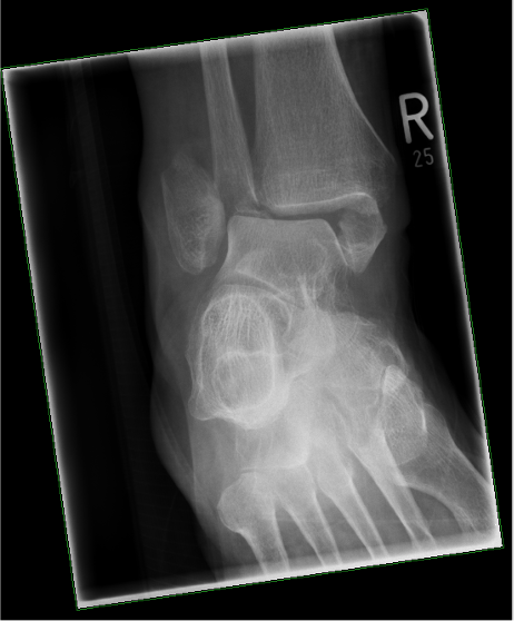
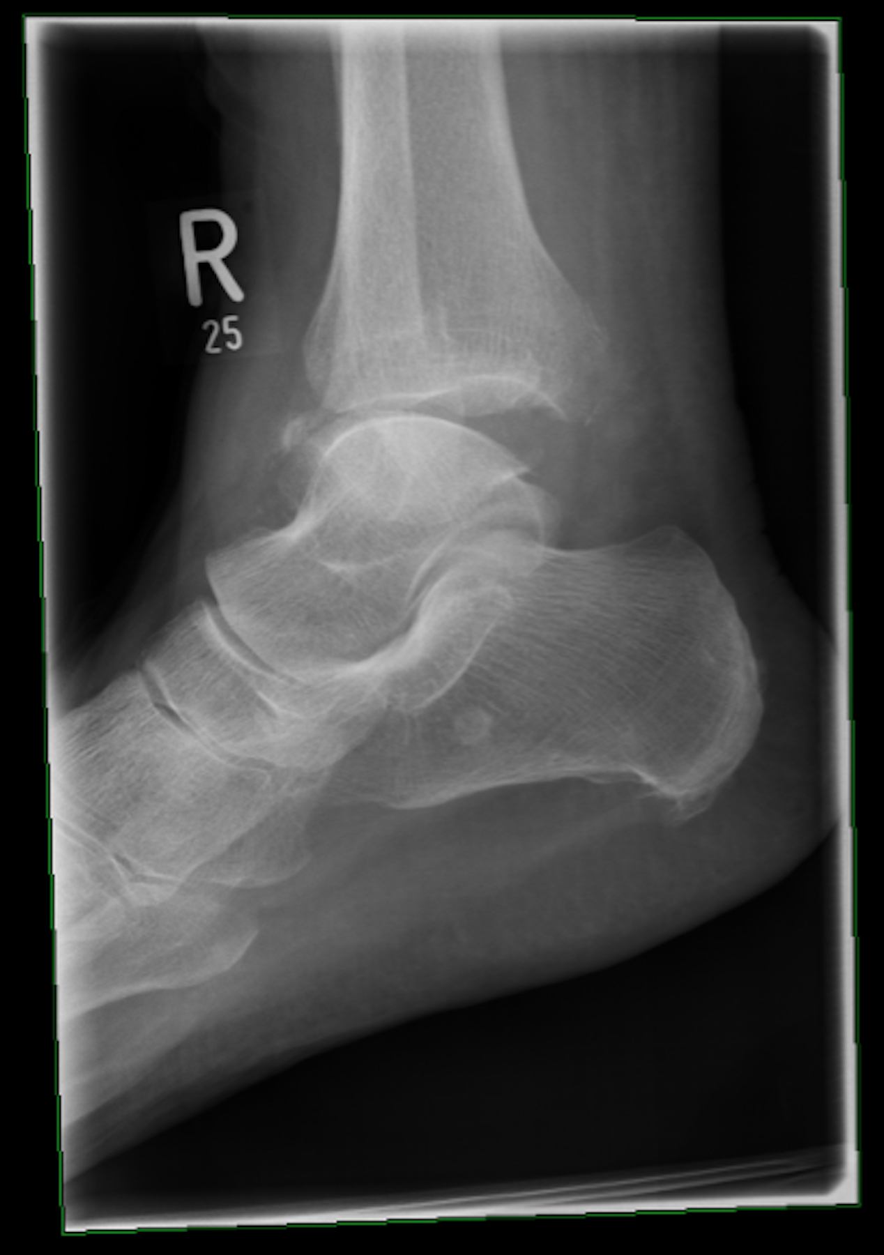
90° Fußfehlstellung
Sie werden zu einem als "orange" (sehr dringend) eingestuften Patientenfall ins Behandlungszimmer gerufen. Dort finden Sie eine 91-jährige Frau vor, die in Begleitung einer Notärztin in die Notfallambulanz eingeliefert wurde. Die Notärztin übergibt Ihnen die Patientin und berichtet, dass diese in ihrer Wohneinheit gestürzt sei und den Hausnotruf betätigt hätte. Beim Eintreffen sei der rechte Fuß im Sprunggelenk 90° nach lateral abgestanden und die Notärztin hätte diesen sofort reponiert und geschient. Eine offene Fraktur sei nicht erkennbar gewesen. Die Patientin habe insgesamt wenig Schmerzen gehabt und sei dauerhaft kardiopulmonal stabil und bei Bewusstsein gewesen.
Zu Ihrer Verwunderung wird übergeben, dass die Patientin keine Vorerkrankungen aufweist, keine Allergien hat und keine Medikamente einimmt. Diese Information konnte in einem Telefonat mit dem vorsorgebevollmächtigten ehemaligen Nachbar bestätigt werden.
Nach dem ansonsten unauffälligen Bodycheck führen Sie eine Röntgenuntersuchung durch (siehe Abbildungen).

