Oma's Unglück
Fall-ID: 746
ICD: S22.04
ICD: S82.5
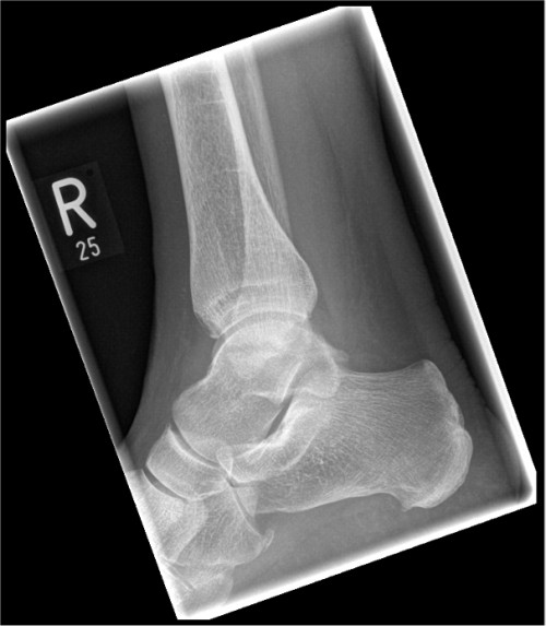
ICD: S92.0
Eine 66-jährige Patientin stellt sich in der Notfallambulanz vor und berichtet von einer Leiter gestürzt zu sein. Sie habe für ihren Enkel Lego-Spielzeug vom Dachboden holen wollen und sei dabei von der Leiter gerutscht. Sie sei auf ihren beiden Fersen gelandet und anschließend auf den Rücken gefallen. Der linke Fuß sei seitdem nicht belastbar, der rechte Fuß schon. Am rechten Fuß sei jedoch eine Schwellung im Bereich der Sprunggelenke sichtbar geworden.
Außer einem Erysipel des linken Unterschenkels vor einigen Jahren habe die Patientin keine Vorerkrankungen, nehme keine Medikamente ein und habe keine bekannten Allergien.





