1. Klinische Fälle nach Disziplinen
  2. Chirugie
  3. Unfallchirurgie und Orthopädie
  4. Die letzte Stufe

Die letzte Stufe

Fall-ID: 754
ICD: S92.3
Autor*in: Samuel Siegk

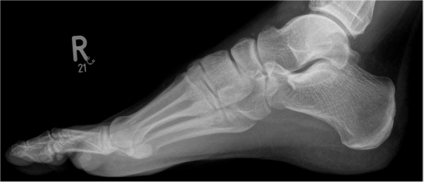
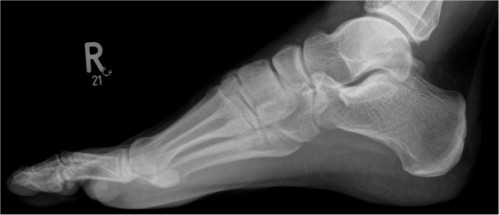
Ein 37-jähriger Patient stellt sich mit hinkendem Gangbild in Ihrer Notfallambulanz vor. Er berichtet am Abend zuvor bei Freunden gewesen zu sein und auf dem Rückweg (beim Heruntersteigen der Treppe) die letzte Stufe nicht gesehen zu haben. Es trat ins Leere und erlitt ein Distorsionstrauma des rechten Fußes. Aufgrund der initialen Schmerzen begann der Patient sofort mit der Kühlung des Fußes. Zu dem Zeitpunkt war das Stehen und gehen unter Schmerzen möglich. Gegen Abend und in der Nacht nahmen die Beschwerden zu, der Patient konnte nicht mehr gehen und nahm eine Tablette Ibuprofen 800mg ein. 

Nun erfolgt die Vorstellung bei noch persistierenden Beschwerden, jedoch ist das Gehen unter Schmerzen wieder möglich. Relevante Vorerkrankungen oder Allergien bestehen nicht. Eine Dauermedikation wird nicht eingenommen.

Röntgen Fuß rechts seitlich
Röntgen Fuß rechts seitlich