1. Klinische Fälle nach Disziplinen
  2. Chirugie
  3. Unfallchirurgie und Orthopädie
  4. Progrediente Schmerzen in der Leiste

Progrediente Schmerzen in der Leiste

Fall-ID: 751
ICD: M80.99
ICD: S72.00
Autor*in: Samuel Siegk

Eine 67-jährige Frau stellt sich in der Notaufnahme vor. Sie berichtet seit 2 Wochen Schmerzen in der rechten Leiste und dem ventralen Oberschenkel bemerkt zu haben. An einen Sturz oder einen anderen Traumamechanismus könne sie sich nicht erinnern. Sie habe es zunächst für muskuläre Beschwerden gehalten, eine Ultraschall-Untersuchung des Hausarzt war jedoch unauffällig und auch eine Thrombose konnte ausgeschlossen werden. Da nun das Gehen deutlich schwerer falle, habe der Hausarzt ein Röntgenbild anfertigen lassen und sie in Ihre Notfallambulanz eingewiesen.

Als Vorerkrankungen gibt die Patientin eine Hashimoto-Thyreoiditis und einen arteriellen Hypertonus an. Als Medikation nehme sie Olmesartan und L-Thyroxin ein. Allergien seien nicht bekannt.

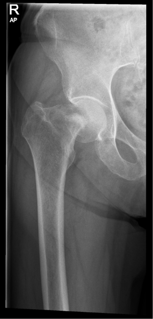
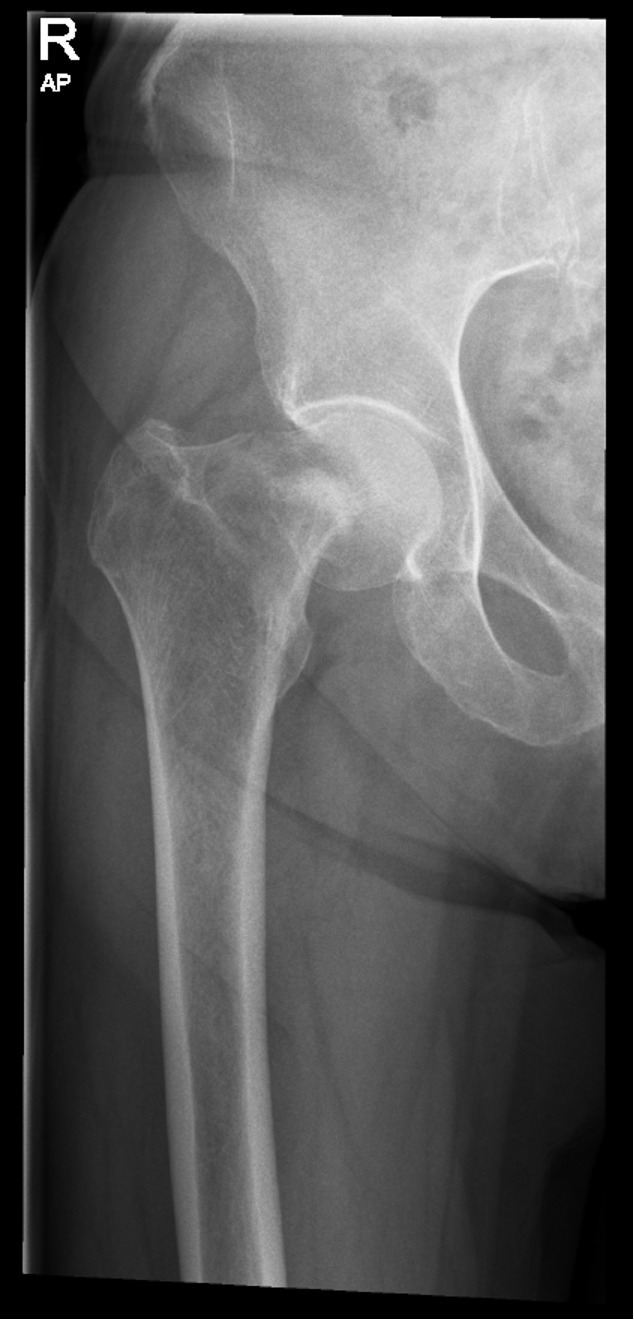
Röntgen Oberschenkel rechts a.p.
Röntgen Oberschenkel rechts a.p.
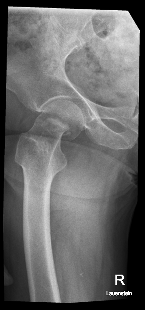
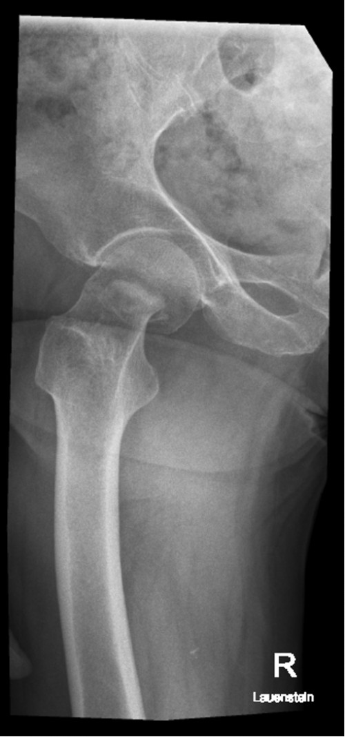
Röntgen Oberschenkel rechts Lauensteinaufnahme (axial)
Röntgen Oberschenkel rechts Lauensteinaufnahme (ax…