Ein alter Mann und die TUR-B
Fall-ID: 312
ICD: C68.9
74 Jahre alter Patient. Vor 8 Jahren bemerkte er,
dass sein Urin auffällig rot war, teilweise sogar mit flockigen Blutkoageln.
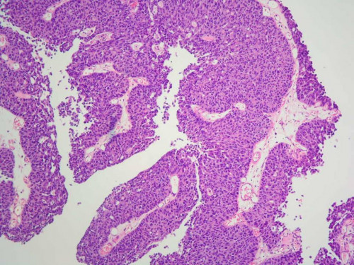
Die damals durchgeführte bioptische Untersuchung ergab folgendes Ergebnis: pTa,
G1.
Seitdem wurde der gleiche Eingriff (TUR-B) bei ihm dreimal wiederholt.
