1. Klinische Fälle nach Disziplinen
  2. Urologie
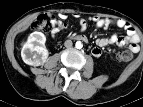
  3. Älterer Mann mit Flankenschmerzen und plötzlich rot gefärbtem Urin

Älterer Mann mit Flankenschmerzen und plötzlich rot gefärbtem Urin

Fall-ID: 238
ICD: C64
ICD: R10.4
ICD: R31
Autor*in: Lászlo Füzesi

62-jähriger Mann. In der letzten Zeit klagte er immer wieder über Flankenschmerzen. Da er bereits seit Jahren an Lumbalgien leidet, misst er diesen zunächst keine große Bedeutung bei. Vor einer Woche bemerkte er, dass sein Urin rötlich verfärbt ist, weshalb er seinen Hausarzt aufsuchte. Dieser überwies ihn direkt an eine urologische Klinik.