1. Klinische Fälle nach Disziplinen
  2. Urologie
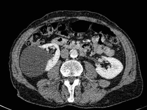
  3. Abklärungsbedürftiger Sono Befund bei der Vorbereitung zur Cholezystektomie

Abklärungsbedürftiger Sono Befund bei der Vorbereitung zur Cholezystektomie

Fall-ID: 315
ICD: Q61.0
Autor*in: Lászlo Füzesi

45 Jahre alter Mann.

Bei der Vorbereitung zur Cholezystektomie wurde sonografisch ein abklärungsbedürftiger Befund gesehen.