1. Klinische Fälle nach Disziplinen
  2. Augenheilkunde
  3. Wenn das Auge Flügel bekommt

Wenn das Auge Flügel bekommt

Fall-ID: 489
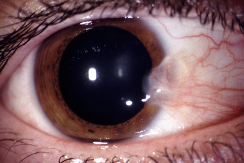
ICD: H11.0
Autor*in: Nicolas Feltgen

Ein 55-jähriger Landwirt stellt sich vor, weil sein rechtes Auge ständig entzündet sei. Das Auge träne und sei morgens verklebt. Außerdem gibt der Patient an, im Spiegel morgens etwas rotes im Auge zu sehen, was sich auch mit starkem Druck nicht wegwischen lasse. Sie sehen mit der Spaltlampe das auf Abbildung 1 dargestellte Bild.