1. Klinische Fälle nach Disziplinen
  2. Radiologie
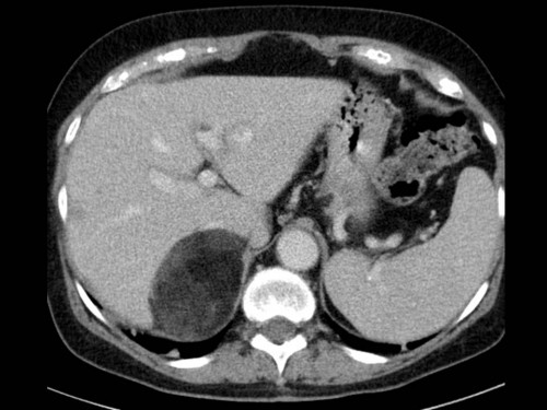
  3. Zufallsbefund in der Bildgebung

Zufallsbefund in der Bildgebung

Fall-ID: 75
ICD: D17.9
Autor*in: Lászlo Füzesi

Sie sind Radiologe in einer Universitätskliniik und erhalten folgende Bildgebung mit einem Zufallsbefund.