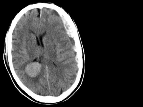
Radtour mit Hindernissen
Fall-ID: 232
ICD: I62.09
ICD: S06.9
70-jähriger passionierter Radfahrer. Bislang war er nie ernsthaft erkrankt. Er ist mit dem Rad auf seiner Tour von Rostock nach Garmisch alleine unterwegs, als er unbehelmt auf nasser Straße stürzt.
Der Patient wird deutlich vigilanzgemindert (Glasgow-Coma-Score 10) über den Schock-OP eingeliefert.
