1. Klinische Fälle nach Disziplinen
  2. Neurologie
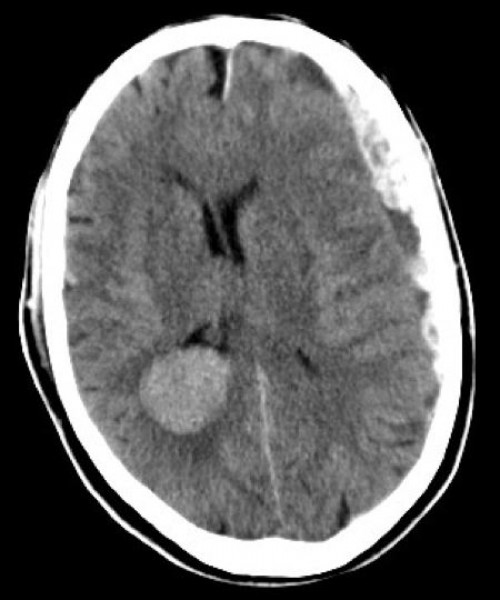
  3. Alter Mann stürzt unbehelmt mit dem Fahrrad

Alter Mann stürzt unbehelmt mit dem Fahrrad

Fall-ID: 380
ICD: D43.2
ICD: S06.5
ICD: S06.9
Autor*in: Angelika Gutenberg

70-jähriger passionierter Radfahrer. Keinerlei ernsthafte Vorerkrankungen. Er ist mit dem Rad allein unterwegs auf seiner Tour durch Deutschland und kommt unbehelmt auf nasser Strasse zu Fall. Deutlich vigilanzgemindert wird er über den Schock-OP eingeliefert (Glasgow-Coma-Score 10).