Zusammenbruch in der Dusche
42-jährige Frau. Sie ist verheiratet, hat zwei Kinder und war bislang gesund. Am heutigen Morgen ist sie in der Dusche zusammengebrochen und zieht sich dabei eine Platzwunde an der rechten Stirn zu. Der Ehemann ruft den Notarzt, der eine somnolente Frau, GCS (Glasgow Coma Scale) von 11, auffindet.
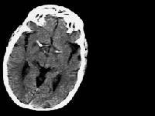
Die Patientin wird über den Schock-OP ins Krankenhaus eingeliefert. Hier wird die Kopfplatzwunde versorgt. Inzwischen ist die Frau wieder etwas wacher. Beim Umlagern von der Trage ins Bett erwähnt die Frau, dass sie seit ihrem Sturz in der Dusche vor anderthalb Stunden ihr linkes Bein und auch den Arm nicht mehr so richtig unter Kontrolle hat. Es wird eine kranielle Computertomografie veranlasst (cCT-1).
Der zeitliche Ablauf wird in der nach 12 Stunden durchgeführten Computertomografie festgehalten (cCT-2 nach 12 Stunden).
