1. Klinische Fälle nach Disziplinen
  2. Kinder- und Jugendmedizin
  3. Mädchen mit nächtlichen Fußschmerzen

Mädchen mit nächtlichen Fußschmerzen

Fall-ID: 598
ICD: D16.9
Autor*in: Tobias Bürger

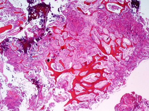
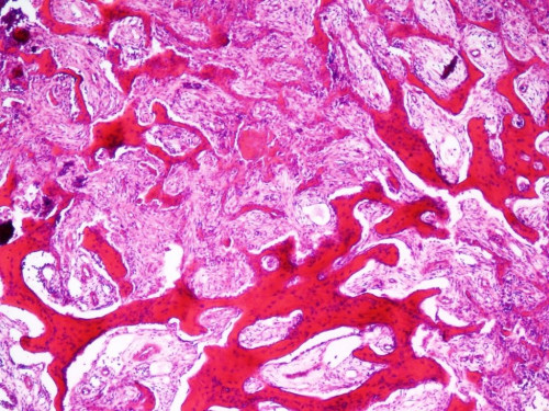
11-jähriges Mädchen. Sie klagt schon seit längerem über Schmerzen im linken Fuß, die insbesondere nachts auftreten. Ihre Mutter tut es anfangs noch als Wachstumsschub ab. Als ihre Beschwerden nach ein paar Wochen aber immer noch nicht verschwunden sondern sogar eher stärker geworden sind, wird die Mutter misstrauisch. Sie bringt ihre Tochter zum Kinderarzt, der eine Bildgebung veranlasst.