1. Klinische Fälle nach Disziplinen
  2. Kinder- und Jugendmedizin
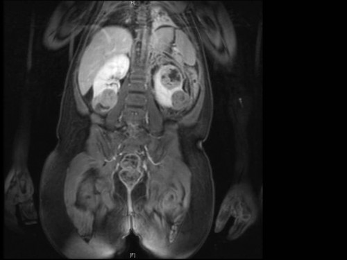
  3. 3 ½ jähriges Mädchen mit posttraumatischen Bauchschmerzen

3 ½ jähriges Mädchen mit posttraumatischen Bauchschmerzen

Fall-ID: 280
ICD: C64
Autor*in: Lászlo Füzesi

3 ½ Jahre altes Mädchen. Anamnese: Starke Bauchschmerzen nach einem Sturz vor 3 Tagen.