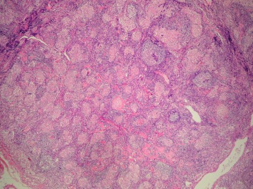
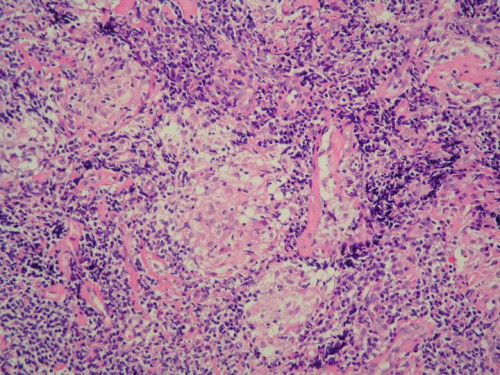
Junge Frau mit Beinschmerzen, "Wasser im Auge" und "runderem Gesicht"
24 Jahre alte Frau. Sie studiert mit großer Begeisterung. Sie hat immer viel Sport gemacht, was sie in den letzten
Jahren jedoch vernachlässigen musste, da sie leichte Schmerzen im Bein hat.
Ihrem neuen Freund fällt auf, dass ihre Augen immer glänzen und sie sich häufig
ihre Augen reibt. Sie sagt, dass sie immer 'viel Wasser' im Auge hätte. Sie
möchte die monotone Zeit zur Staatsexamensvorbereitung unterbrechen und fährt
nach langer Zeit für eine Woche nach Hause.
Beim Wiedersehen bemerkt ihre Mutter spontan, dass ihr ansonsten schlankes Gesicht etwas 'runder' geworden ist. Obwohl sie eigentlich nicht zugenommen hat, beschließt sie, wieder Sport zu machen. Nach dem ersten Joggen über 5 km kommt sie spazierend nach Hause, weil ihr Bein wieder schmerzt.

