Junger Mann mit Verhärtung am Kiefer
Fall-ID: 93
ICD: A42.9
ICD: J35.0
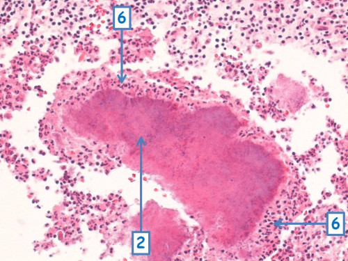
25-jähriger Mann. Bereits seit einem Jahr besteht bei ihm unterhalb des rechten Kieferwinkels eine etwa 1cm im Durchmesser große, leicht gerötete Verhärtung der Haut. Seit einigen Wochen entleerte sich nun durch die Haut ein gelbes Sekret. Die Hautverhärtung wurde in einer chirurgischen Praxis exzidiert.
In der histologischen Untersuchung wurde eine erregerbedingte Fistelung festgestellt. Dem Patienten wurde daraufhin eine HNO- und zahnärztliche Untersuchung empfohlen.
