1. Klinische Fälle nach Organsystemen
  2. Nervensystem und Psyche
  3. Neubildungen
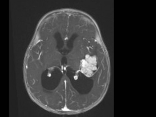
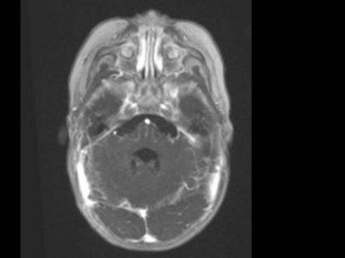
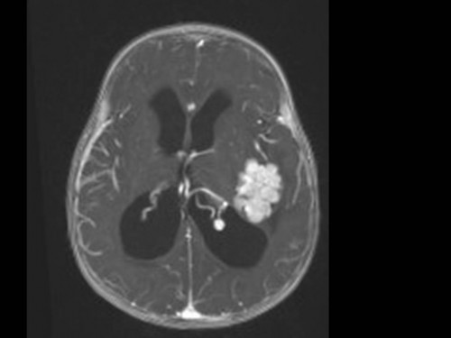
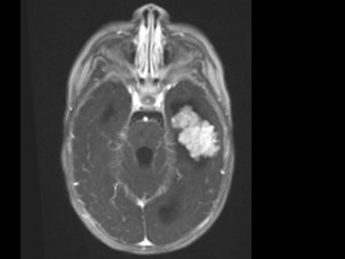
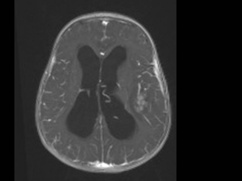
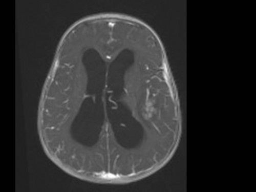
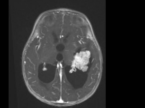
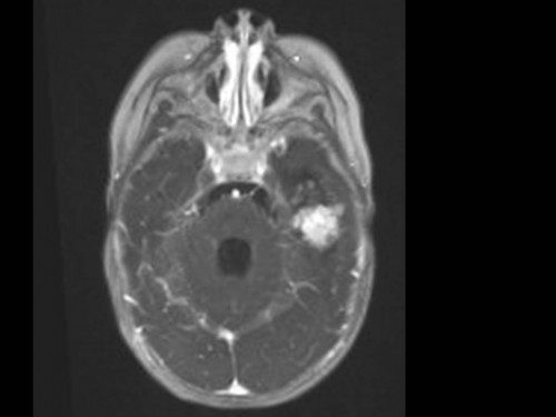
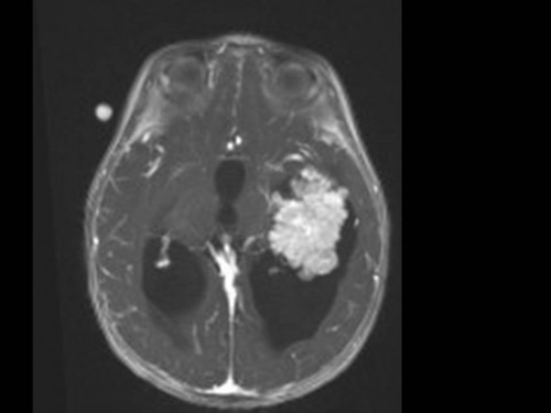
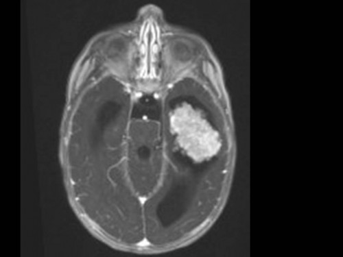
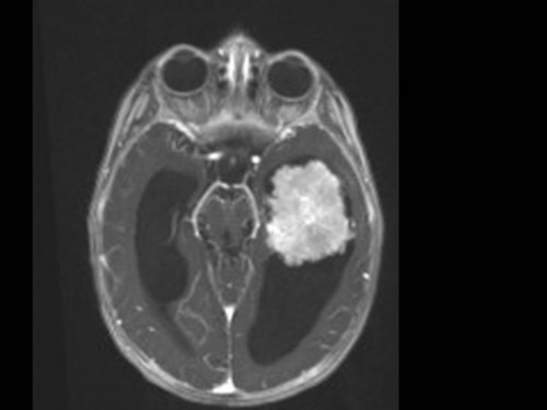
  4. 10 Monate altes Mädchen mit großem Kopf und Sehstörung

10 Monate altes Mädchen mit großem Kopf und Sehstörung

Fall-ID: 590
ICD: C71.5
ICD: G91.9
ICD: H47.1
Autor*in: Angelika Gutenberg

10 Monate altes Mädchen. Der Kinderarzt stellt fest, dass das kleine Mädchen einen recht großen Kopfumfang hat, nicht mit den Augen fixiert und anscheinend auch nicht richtig sehen kann. Damit bestätigt er die größten Befürchtungen der Eltern, denen in den letzten Wochen aufgefallen war, dass ihre Tochter nach keinem Spielzeug mehr greift und sie nur dann anlächelt, wenn sie zu ihr sprechen.

Bildgebung - MRT
Bildgebung - MRT