1. Klinische Fälle nach Organsystemen
  2. Nervensystem und Psyche
  3. Neubildungen
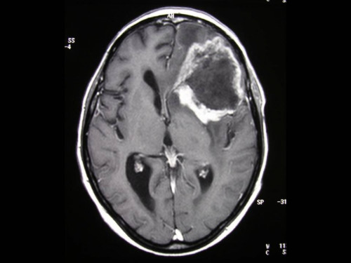
  4. 'Sanfte Natur' war einmal?

'Sanfte Natur' war einmal?

Fall-ID: 172
ICD: C71.9
Autor*in: Angelika Gutenberg

62-jährige Frau. Ihr Ehemann macht sich langsam Sorgen, weil sie mit ihm recht ungeduldig geworden ist, ja teilweise sogar aggressiv wirkt. Sonst war sie immer von einer so sehr geduldigen und sanften Natur. Selbst gegenüber den Enkelkindern verhält sie sich teilweise merkwürdig. Beim letzten Besuch der drei Enkel hatte sie den Namen des Jüngsten vergessen.

Es sind keine nennenswerten Vorerkrankungen bekannt.