Schulterschmerzen und Schwellung bei Krebspatientin
Fall-ID: 68
ICD: C50.9
ICD: C79.5
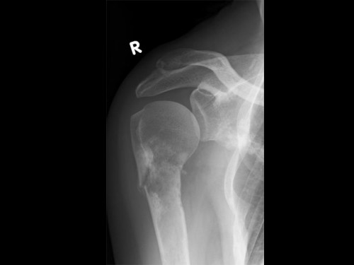
63-jährige Patientin. Bei ihr ist ein operiertes Mammakarzinom vor 3 Jahren bekannt. Das Ausgangsstumorstadium war: pT2, pN 0/1 (sn), L0, V0, cM0, R0, G2. Aktuell plagen sie Schmerzen in der rechten Schulter, die insbesondere bei Bewegung auftreten. Ein Trauma hat nicht stattgefunden.
Untersuchungsbefund der rechten oberen Extremität:
- Weichteilschwellung und Druckschmerz über Schulter und proximalem Oberarm
- Aktive Beweglichkeit des Schultergelenkes schmerzbedingt erheblich eingeschränkt
- Keine Sensibilitätsstörungen am gesamten rechten Arm

