45-jährige Frau ist müde und schlapp
Fall-ID: 132
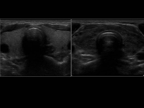
ICD: E06.3
45-jährige Frau. Sie fühlt sich bereits seit mehreren
Wochen ständig müde und schlapp. Wenn sie von der Arbeit nach Hause kommt, muss
sie sich immer zunächst einmal ausruhen. Früher hat sie dagegen sehr viel
Freizeitsport getrieben.
Ihr Mann überzeugt sie, zu ihrem Hausarzt zu gehen.
