1. Klinische Fälle nach Disziplinen
  2. Gynäkologie und Geburtshilfe
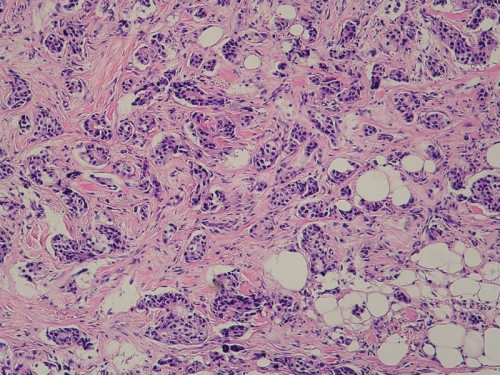
  3. Erwachsene Frau tastet einen Tumor in der rechten Brust

Erwachsene Frau tastet einen Tumor in der rechten Brust

Fall-ID: 148
ICD: C50.9
Autor*in: Lászlo Füzesi

45 Jahre Frau. Sie tastet einen verschieblichen Mammatumor rechts. Das Ergebnis der durchgeführten Mammografie ist: BI-RADS IV.