'Das Gitarrespielen fällt mir zunehmend schwerer'
Fall-ID: 391
ICD: C71.9
ICD: G81.9
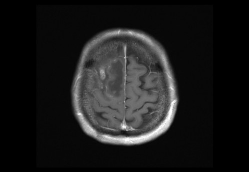
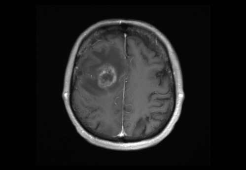
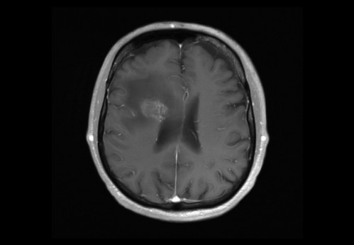
Sie behandeln einen 48-jähriger Mann, von Beruf Architekt. In der Anamnese erfahren Sie, dass er leidenschaftlich Gitarre spiele und er berichtet, dass ihm seit zwei Wochen in der rechten Hand die nötige Koordination fehle. Auch das Plektrum würde ihm immer wieder aus den Fingern gleitet.
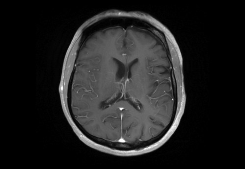
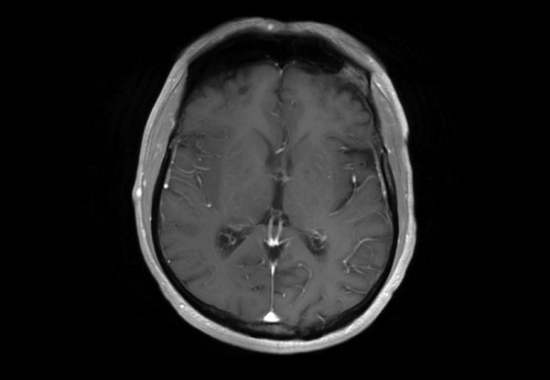
Eine Magnet-Resonanz-Tomografie (MRT) des Kopfes wurde durch den ambulant behandelnden Neurologen bereits veranlasst.






